[最も人気のある!] 40代 矯正 204802-40代 矯正 ブログ
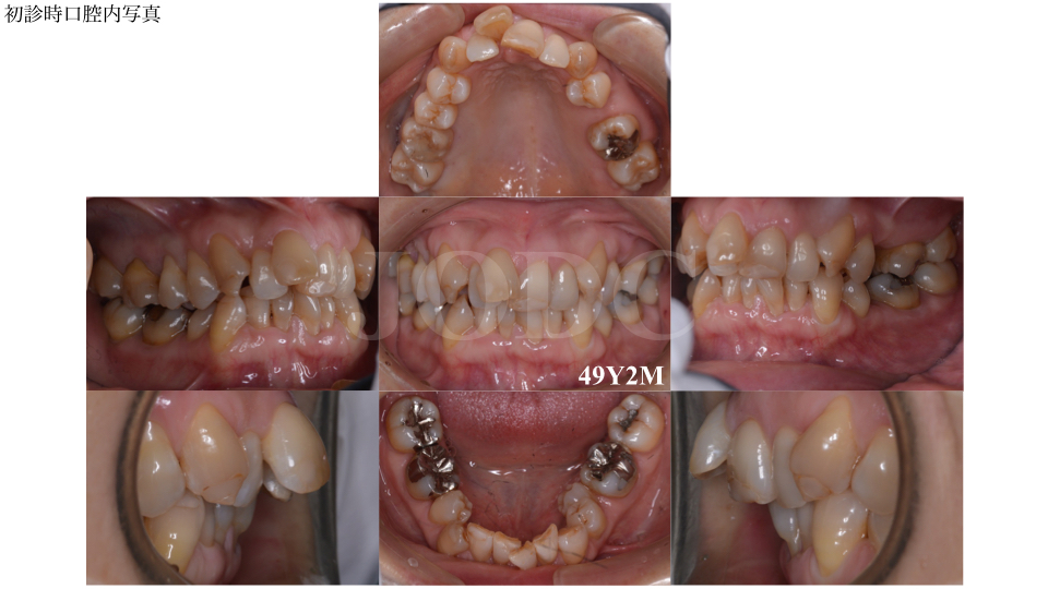
40代 女性 マルチブラケット 非抜歯症例 デコボコ 17年06月30日 12 *患者さんご本人の同意を得た写真を使用しております。 なお、患者さんの状態はお一人お一人異なり、治療内容によっても治療結果は異なります。 主訴 : 歯並びを治したい 初診時年齢: 44歳、女性 診断名: 叢生 治療前: 上あご狭窄歯列を伴う叢生症例です。 40代になって矯正をしているという事実を周りに知られたくない 食事の時にワイヤーに食べ物が詰まってしまうのがたえられなさそう ワイヤー矯正だと歯磨きをするのが大変そう 1日に数度外す時間があるマウスピース矯正のほうがほっとしそう 矯正前、 40代で歯列矯正することに対して、 ネガティブな意見を、よく耳にしました。 その多くが、 40代の矯正は、失敗しやすいからやめた方がいい というものでした。 では、実際に40代で歯列矯正をはじめた、 ぼくの場合はどうだったのか?
40代女性 上の前歯の傾きと下の前歯のガタガタが気になる キレイライン6回 拡大床 上のみ 透正堂歯科 矯正歯科 銀座院
40代 矯正 ブログ
40代 矯正 ブログ-縮毛矯正(ストパー)やめたい! やめて一年経ったらこんなになりました♥ 総社市 美容室ルチア 30代、40代、50代の髪の悩み解消! 縮毛矯正(ストパー)やめたい! やめて一年経ったらこんなになりました♥ くせ毛 Tweet Pocket 縮毛矯正 40代後半の私が歯列矯正に踏み切った理由 18年6月30日 19年11月30日 4分 どうも、夏蜜柑です。 実は先日、歯列矯正のブラケット装着期間が終了しました。



40代以降の矯正治療 月島 勝どきで歯を残すならならユズデンタル
矯正歯科 40代 矯正歯科は、子供のうちにしかできない治療方法だと思い込んでいる人は結構いるのではないでしょうか。 なので、大人になってしまった今では歯並びが悪くても我慢するしかないとあきらめているケースも多いと思います。 確かに子供の 40代の歯列矯正ブログ。 調整一回目と抜歯した口コミ Natsu 21年2月12日 / 21年5月28日 40代なんですが、歯列矯正始めました! 40歳過ぎてるし、今さら歯並びなんて、もういいんじゃない? と、周りからの心の声が聞こえてきそうですが。 思い返せば、大人の歯が生えてきた小学校の頃からの私の最大の悩み! それが歯並びでした。37歳で開業しましたが、その頃は、自分より年上の40〜50代の方に、なかなか矯正治療をお勧めすることができませんでした。 もちろん、この15年で矯正治療の進歩と発達という側面は見逃せませんが、私自身の40〜50代の方への気持ちの持ちようが大きく変化しました。 自分も年齢を重ね、仕事も熱意をもって取り組みたいし、自分の外見も気になります。 また
30代後半から40代に突入すると、白髪染めを定期的に行っている方も多いはず。 白髪染めを毎月やりながらの縮毛矯正は、髪へのダメージが非常に大きいため危険です。 また、縮毛矯正によって傷んだ髪は「白髪染めの色持ち」も悪くなります。 まさに悪循環。 (2)40代からの歯科矯正はあり? 失敗しない歯科医選び ←今回はココ (3)大病を防ぐにはまず口から 大人のオーラルケアの始め方 この記事の前に読みたい ⇒40代で増える歯周病 放置すると顔も老けるって本当?八重歯・叢生(デコボコの歯列)の治療例(Before&After)と解説 年齢・性別 40代女性 治療期間 1年11ヶ月 抜歯 上下左右1本ずつ 治療費 万円(税込) 備考 アンキローシス
40代、50代の矯正治療とは 以前は、歯科矯正治療というと歯の表面につけた装置を使用していましたので、子供のものという印象を持たれている方も多いと思います。 しかし、当院でも、 近年、歯並びの重要性を感じ矯正治療を希望される40代、50代、60代40代以降の矯正 当院では60歳代の方も治療をお受けになられています。 矯正治療は、歯並び・咬み合わせ、上下唇などの口元の状態を、美しく調和のとれた状態にすることが目的です。 キレイな歯並び・よい咬み合わせは、素敵な笑顔になるだけではなく、むし歯や歯周病などの予防につながります。 大人の矯正治療に年齢制限はありません。 歯と歯ぐきが健康 まだ40代、矯正視力12でも「白内障手術」を検討すべきケース 市川 一夫 , 市川 慶 白内障 加齢 老化 目の異常 白内障は誰でもかかる病気です。



40代以降の矯正治療 前歯だけの部分矯正



症例紹介 矯正歯科 大阪 ほてい矯正歯科
」と思っている40代の方は、検討してみてはいかがですか。 まとめ 今回は縮毛矯正をやめたいと思っている方に向けて、やめるときに気を付けたいポイントやスタイリングのコツなどを解説してきました。 実際にはこのようなお悩みのLINEをいただきます。21年05月28日(金) 40代の歯列矯正。後悔しないために知っておきたいメリットとデメリットとは? 21年05月10日(月) 舌側矯正のメリット・デメリットは何か?様々なポイント 40代からの矯正でもそのメリットは大きい 歯周病になりにくくなる しっかり噛むことができる 消化が良くなる 長年のコンプレックスが解消 頭痛や肩こりが改善する可能性がある 自律神経失調症の一因が解消 40代から矯正を行うリスクやデメリットは? 歯周病を悪化させる危険がある 歯茎が下がって見えることがある 歯の移動が遅い 矯正期間中に支障がある 装置



40代からの歯を守るための矯正治療



40代以降の矯正治療 月島 勝どきで歯を残すならならユズデンタル
40代でも矯正はできる 矯正治療に年齢制限はありません。 小児矯正と比べると治療の進みが遅いのは事実ですが、 40代でも50代以上であっても矯正を受けることはできます。 昔は矯正は「子どもが行うもの」でしたが、最近では成人矯正が普及しており、矯正を受ける患者のうち約4割が成人矯正というデータもあります。 40代という年代は、子どもが大きくなって



Vol 26 咬み合わせから考える人生100年時代 40代以降からの矯正歯科治療 Vol 26 咬み合わせから考える人生100年時代 40代以降からの 矯正歯科治療 トレンドウォッチ 本会の活動 ニュース 矯正歯科専門の開業医団体 日本臨床矯正歯科医会



三木市 志染駅より徒歩4分の歯科 歯医者 みらい歯科 矯正歯科クリニック プチ矯正症例40代女性 矯正後 ブログ



40代の矯正 出っ歯 歯のがたがた 医 精密審美会



30代40代からでも間に合う 大人女性の歯列矯正 リアル体験記ブログ Baila



40代以降の矯正は正しい知識が必要 メリット デメリットを解説 ドクターズ ファイル



40代からの歯列矯正ってどんな失敗をするの クローバー歯科 矯正歯科医監修コラム



40代 男性 矯正により歯列不正 悪い歯並び を改善したケース 上川歯科医院



前歯の部分矯正 マウスピース矯正 の治療例 40代男性 治療期間6ヶ月 Uc矯正歯科クリニック麻布十番 東京港区



40代からの歯列矯正 4 病院選びに3ヵ月 私が歯医者を決めたポイントは 真昼のワタシ



30代40代からでも間に合う 大人女性の歯列矯正 リアル体験記ブログ Baila



40代の治療例



岡山 倉敷の歯科 東風会 歯列矯正体験談 高谷淳子さんの場合



1回目 診察 矯正開始 0か月 40代 おとなの歯列矯正 46歳で歯列矯正を始めた記録 現在49歳



写真あり 40代 成人の歯列矯正について教えて下さい 歯チャンネル歯科相談室



上下前歯の突出を抜歯により治療した40代女性 日野市高幡不動駅前 たかはた矯正歯科 リスクの少ない矯正



40代男性 歯列矯正治療 空隙歯列 表側矯正 メタルブラケット 大田区蒲田 はらだ歯科 症例集 症例集 はらだ歯科クリニック 大田区 京急蒲田 川崎 東京都



40代男性 受け口 下のみ抜歯の矯正治療 医 精密審美会



反対咬合 舌側矯正40代男性 習志野市谷津 津田沼 奏の杜 の歯科 矯正歯科なら もりざわ歯科 矯正歯科



40代 男性 前歯のがたがた歯の矯正歯科治療 よしかわ矯正歯科 症例



30代 40代からでも間に合う 矯正治療と年齢の話 ドクターズブログ 舌側矯正のアイ矯正歯科クリニック



40代女性の出っ歯 上顎前突 を改善した症例 さいたま市浦和の矯正歯科医院



40代女性が非抜歯による歯列矯正治療を5年にわたり受けた結果 歯の問題が噴出し寝たり起きたりの生活になったがアメリカ歯科標準治療を受け復活した記録 15 Gvbdo



40代 50代の矯正治療 矯正歯科医院なら東京 日本橋駅徒歩4分 三越前駅直結の歯医者 東京日本橋aqua歯科 矯正歯科包括clinic



40代 アラフォー からの歯列矯正



40代でも間に合います 最新 気づかれない ツラくない 大人の歯の矯正 する人増えています 美st Online 美しい40代 50代 のための美容情報サイト



100万円の治療費がパァに 歯科矯正の失敗はなぜ起こるのか ニュース3面鏡 ダイヤモンド オンライン



歯の矯正 その5 40代パパの生活



失敗しない矯正治療 高齢だから無理 と言われて 受け口 Jso 日本歯科矯正専門医学会 矯正歯科 歯列矯正 専門医検索



成人矯正 症例 横浜市港北区 歯科 歯医者 歯科医院 セントラル歯科



治療症例集 佐伯歯科クリニック 福岡市早良区 西新近くの 予防型 歯医者 歯科 荒江



40代の矯正 八重歯を綺麗に 医 精密審美会



40代女性のワイヤー矯正体験談 抜歯をせずに矯正は可能 痛みは Smileteeth スマイルティース



40代 男性 矯正により歯列不正 悪い歯並び を改善したケース 上川歯科医院



虫歯と歯並びを治したい 矯正治療 セラミック治療例 40代男性 0303 東京赤坂ヴィーナスデンタル



三木市 志染駅より徒歩4分の歯科 歯医者 みらい歯科 矯正歯科クリニック プチ矯正症例40代女性 矯正後 ブログ



40代からの歯列矯正 2 何歳まで可能 専門医に相談した結果は 真昼のワタシ



症例紹介 矯正歯科 大阪 ほてい矯正歯科



40代女性 気になる前歯だけ 上の部分矯正 セラミック 低予算で 医 精密審美会



八重歯 叢生の矯正治療例 40代女性 治療期間1年11ヶ月 Uc矯正歯科クリニック麻布十番 東京港区



40代女性 前歯の歯並びが気になる 部分矯正で治療した症例 我孫子の歯医者さん なかむら歯科



部分矯正の治療例と期間と治療費 港区虎ノ門 新橋の矯正歯科



矯正治療は何歳までできる 10代から40代 50代までの症例写真も公開 キレイライン矯正



前歯の歯並びが悪い 叢生 裏側矯正 インプラント矯正 非抜歯 治療期間1年9か月 世田谷区 40代女性 スマイル さくらい歯列矯正歯科二子玉川



フルリンガル40代女性o様矯正日記 甲府市の矯正歯科 純矯正歯科クリニック



セルフライゲーションラビアル40代女性y様矯正日記 甲府市の矯正歯科 純矯正歯科クリニック



歯列矯正で失敗しないために 40代での歯列矯正の意外なデメリットとは Plus Quality プラスクオリティ



40代の矯正 神戸三宮 元町の大塚矯正歯科



50代矯正



40代からの歯列矯正 3 インビザラインのデメリット 私が諦めた理由とは 真昼のワタシ



矯正273日目 調整9回目 40代で歯列矯正始めた



40代からの矯正治療 マウスピース矯正 裏側矯正の矯正歯科 吉祥寺デンタルクリニック



40代 男性 矯正により歯列不正 悪い歯並び を改善したケース 上川歯科医院



すきっ歯 出っ歯を治したい 矯正治療例 40代男性 1637 東京赤坂ヴィーナスデンタル



40代歯列矯正6ヶ月目 歯並び経過写真 からだケア トピレポ



大人が行ってはいけない矯正歯科3タイプ President Woman Online プレジデント ウーマン オンライン 女性リーダーをつくる



40代の治療例



30代40代からでも間に合う 大人女性の歯列矯正 リアル体験記ブログ Baila



40代からの歯列矯正 乱ぐい歯と生きた30年の思い出 Before Afterの写真とともに 身近なリハビリをつぶやく



矯正30日目 40代で歯列矯正始めた



40代のインビザラインブログ 矯正初日から終了まで全経過まとめ ミカコライフ インビザライン 歯科 歯列矯正



40代からの矯正治療 マウスピース矯正 裏側矯正の矯正歯科 吉祥寺デンタルクリニック



大人の歯列矯正 アラサーの大事な4年を捧げた歯並び改善 全部見せます Baila



前歯のでこぼこ 叢生 裏側矯正 インプラント矯正 抜歯 治療期間2年3ヵ月 川崎市 40代女性 スマイル さくらい歯列矯正歯科二子玉川



10回目 その後 40代 おとなの歯列矯正 46歳で歯列矯正を始めた記録 現在49歳



40代からの矯正治療 マウスピース矯正 裏側矯正の矯正歯科 吉祥寺デンタルクリニック



40代女性 フーガ2矯正 ブライト歯科矯正ブログ



40歳からの歯列矯正 2年後の経過 からだケア トピレポ



三木市 志染駅より徒歩4分の歯科 歯医者 みらい歯科 矯正歯科クリニック 部分矯正 プチ矯正 症例40代女性 ブログ



40代女性 反対咬合の症例 ゴムメタル矯正 上川歯科医院



40代女性 上の前歯の傾きと下の前歯のガタガタが気になる キレイライン6回 拡大床 上のみ 透正堂歯科 矯正歯科 銀座院



矯正治療は何歳までできる 10代から40代 50代までの症例写真も公開 キレイライン矯正



歯並びを治したい 矯正治療例 40代男性 東京赤坂ヴィーナスデンタル



40代の歯列矯正は失敗する 経験者がリアルに告白 矯正ブログ



40代からの歯を守るための矯正治療



40代女性 フーガ2矯正 ブライト歯科矯正ブログ



40代 女性 マルチブラケット 非抜歯症例 デコボコ 院長ブログ 症例集 ワダ矯正歯科



お口の変化 治療例 熊本駅前矯正歯科クリニック



40代でも間に合います 最新 気づかれない ツラくない 大人の歯の矯正 する人増えています 美st Online 美しい40代 50代 のための美容情報サイト



歯並びを治して白い歯にしたい 矯正治療例 40代男性 東京赤坂ヴィーナスデンタル



40代の矯正 八重歯を綺麗に 医 精密審美会



歯科医監修 40代になると歯がずれてくる 大人の矯正治療のメリットとデメリットとは



私の歯 43歳からの歯列矯正 歯を見せて笑いたい



さくらい歯列矯正歯科症例集 スマイル さくらい歯列矯正歯科二子玉川 二子玉川駅から徒歩2分 土日も診療



40代でも間に合います 最新 気づかれない ツラくない 大人の歯の矯正 する人増えています 美st Online 美しい40代 50代 のための美容情報サイト



40代の成人矯正 あき歯科医院の医院ブログ



40代からの歯列矯正 大宮駅2分 大宮shin矯正歯科



インビザライン矯正治療例 40代女性 治療期間4ヶ月半 港区虎ノ門 新橋すぐのインビザライン マウスピース矯正歯科



40代からの矯正 大阪府枚方市の辻村矯正歯科



部分矯正 プチ矯正 治療例 港区虎ノ門 新橋すぐのインビザライン マウスピース矯正歯科



40代女性 気になる前歯だけ 上の部分矯正 セラミック 低予算で 医 精密審美会



歯並び ホワイトニングーtooth おしゃれまとめの人気アイデア Pinterest ブログ インビザライン 歯並び ビザ



広瀬矯正歯科



下顎前突 受け口 の矯正治療症例 40代女性 習志野市 実籾駅から1番近い歯医者 歯科 京成大久保 八千代台からも来院多数



成人矯正 症例 横浜市港北区 歯科 歯医者 歯科医院 セントラル歯科



Vol 26 咬み合わせから考える人生100年時代 40代以降からの矯正歯科治療 Vol 26 咬み合わせから考える人生100年時代 40代以降からの 矯正歯科治療 トレンドウォッチ 本会の活動 ニュース 矯正歯科専門の開業医団体 日本臨床矯正歯科医会



40代の矯正 神戸三宮 元町の大塚矯正歯科

コメント
コメントを投稿